ESMO Asia 2025|亮相国际! 90Y树脂微球治疗中国肝部肿瘤新数据:ORR达92%!
导读
12月5-7日,2025年ESMO亚洲年会在新加坡举办,这场亚太肿瘤领域顶级盛会以“聚焦亚太特性、推动精准与创新诊疗”为核心,掀起肝癌诊疗前沿探讨热潮。本次大会海南省肿瘤医院王志恒教授投稿的钇-90树脂微球治疗肝部肿瘤相关研究摘要成功入选POSTER展示环节。我们特邀王教授深度解析其研究,解锁肝部肿瘤精准介入治疗的关键数据。
正文
本研究回顾性分析了90例肝部肿瘤患者:通过监测90Y-SIRT后肝、肺组织的吸收剂量,明确90Y在患者体内的放射性分布情况,旨在为90Y-SIRT安全性与有效性提供临床依据。
纳入的90例患者中,46例(51.11%)完全缓解,37例(41.11%)部分缓解,7例(7.78%)进展,客观缓解率达92.22% (83/90)。如表一所示,治疗后患者的肿瘤长径缩短,甲胎蛋白(AFP)下降,差异均有统计学意义(P<0.001),治疗前后的丙氨酸氨基转移酶(ALT)、天门冬氨酸氨基转移酶(AST)、白蛋白(ALB)、总胆红素(TBil)和谷氨酰转肽酶(GGT)比较差异均无统计学意义(P>0.05)。这表明90Y树脂微球能有效治疗肝部肿瘤患者,在高缓解率的同时降低肿瘤标志物含量,并且对肝功能没有明显影响。
表1:患者治疗前后的肿瘤长径及各项生化指标比较(`x±s)
如表二所示,治疗后2h、24h、48h,肝内平均吸收剂量分别为(131.45±20.52) Gy、(101.67±13.21) Gy、(76.23±8.32) Gy,明显高于肺内平均吸收剂量(15.46±4.76) Gy、(11.18±3.36) Gy、(7.38±1.12) Gy,差异均有统计学意义(P<0.001)。表明使用90Y后,肝和肺内90Y吸收剂量随时间延长逐渐下降,且肺部吸收剂量明显更低(均不超过30 Gy),90Y的精准性和安全性得到充分验证。
表2:患者治疗后不同时间段的吸收剂量比较(`x±s)
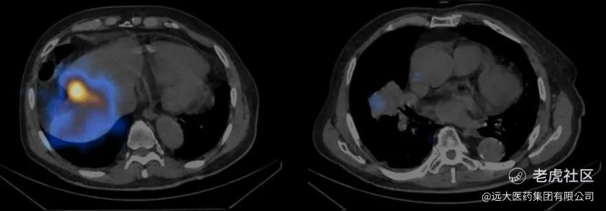
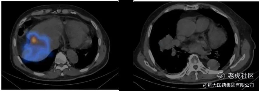
如图1~图6所示,肝及肺内蓝黄色为钇-90沉积区域,亮度越高,表明吸收剂量越大,随着治疗后时间的延长可以看到颜色的亮度逐渐减弱。
(左:图1 SIRT后肝扫描(2h);右:图2 SIRT后肺扫描(2h))
(左:图3 SIRT后肝扫描(24h);右:图4 SIRT后肺扫描(24h))
(左:图5 SIRT后肝扫描(48h);右:图6 SIRT后肺扫描(48h))
本研究表明,90Y树脂微球选择性内放射治疗肝部肿瘤患者具有较高的临床缓解率,且肺内的吸收剂量较低,且随着时间的延长,剂量逐渐减少,具有良好的安全性与有效性。
王教授会议现场展示poster
结语
90Y树脂微球自2022年在中国大陆上市以来,至今已惠及超3500例肝部肿瘤患者。本次大会上,王志恒教授对90例患者的临床回顾性分析,以高达92%的客观缓解率和安全性再次印证了90Y-SIRT的疗效与安全性。期待未来有更多90Y树脂微球的中国数据和经验,惠及全球患者,点亮生命新希望。
前瞻性声明:
本新闻稿旨在分享本集团业务相关动态及进展,仅供医疗卫生专业人士参阅,非广告用途。本新闻稿信息仅供参考,不作为诊疗依据,如有身体不适请及时就医,本集团不对任何药品和/或适应症作推荐。
本新闻稿中可能会包含某些前瞻性表述。这些表述本质上具有相当风险和不确定性。在使用“预期”、“相信”、“预测”、“期望”、“打算”及其他类似词语进行表述时,凡与本集团有关的,均属于前瞻性表述。本集团并无义务不断地更新这些预测性陈述。
这些前瞻性表述是基于本集团管理层在做出表述时对未来事务的现有看法、假设、期望、估计、预测和理解。这些表述并非对未来发展的保证,会受到风险、不确性及其他因素的影响,有些是超出本集团的控制范围,难以预计。因此,受我们的业务、竞争环境、政治、经济、法律和社会情况的未来变化及发展的影响,实际结果可能会与前瞻性表述所含资料有较大差别。
本集团、本集团董事及雇员代理概不承担(1)更正或更新本网站所载前瞻性表述的任何义务;及(2)若因任何前瞻性表述不能实现或变成不正确而引致的任何责任。
免责声明:上述内容仅代表发帖人个人观点,不构成本平台的任何投资建议。


